#

Our Services

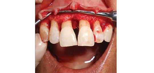
Advanced Gum Surgery

Periodontitis is an advanced form of gingivitis that leads to inflammation and damaged bone and tissue. Periodontitis usually requires a visit to a dentist and treatment may involve gum surgery with or without lasers. Periodontal surgery can regrow damaged bones and tissues, prevent tooth loss, reduce gum gaps between the teeth, and reshape the jawbone to eliminate bacterial growth.





#